Версия для слабовидящих

В НовГУ изготовили профилактический стоматологический раствор

02 апреля 2025, 10:01   1570

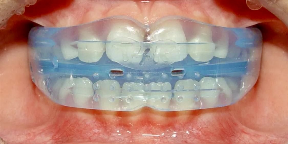
Разработка играет важную роль в профилактике и предупреждении стоматологических заболеваний. Например, регулярное использование раствора в качестве ополаскивателя сможет остановить дальнейшее развитие кариеса на первой стадии.

— В наш раствор входят такие полезные микроорганизмы, как Streptococcus salivarius, — прокомментировала одна из авторов проекта, студентка II курса факультета стоматологии Медицинского института НовГУ Полина Грабежева. — Они подавляют развитие микроорганизмов S. Pyogenes, которые приводят к ангине, отиту, фарингиту и другим заболеваниям. Или Lactobacillus. Задерживающие рост стафилококков, кишечной и дизентерийной палочек. В тандеме эти микроорганизмы способны воздействовать на Streptococcus mutans и Porphyromonas gingivalis, которые как раз и вызывают кариес.

Разработка будет полезна всем, кто следит за состоянием и здоровьем зубов. Кроме того, раствор будет прост удобен в использовании — и как ополаскиватель, и как, например, трейнер с антисептическим раствором, который сможет использовать даже ребенок.

Как добавили разработчики, ранее медицина уже изучала отдельные виды микроорганизмов и их влияние на патогенную микрофлору ротовой полости. Но исследований, нацеленных именно на использование их в растворе, еще не проводились.

На данный момент по проекту проводится экспериментальное тестирование продукта (подбирается оптимальное соотношение составляющих компонентов). Конечной целью станет вывод готового продукта на рынок. Также разработчики планируют изготовить раствор в гелеобразной форме и сделать его использование ещё удобнее. В этом году авторы проекта планируют подать заявку на грант «Студенческий стартап» 6 волны для получения финансирования.

Эту и другие новости читайте в официальном телеграм-канале Новгородского университета.

Рубрика:

Похожие новости

Все новости
12 января, 16:29
В НовГУ переиздали книгу о святых учениках и педагогах Новгородской духовной семинарии
В издательстве НовГУ вышло второе издание монографии историка и искусствоведа Людмилы Секретарь «Новгородская духовная семинария. История в лицах».
Наука
6940
30 декабря, 13:46
НовГУ будет выпускать журнал о влиянии масскульта на эмоциональную картину мира
На базе Новгородского университета учреждено новое научное периодическое издание — журнал «Индустрии впечатлений. Технологии социокультурных исследований».
Наука
6368
30 декабря, 13:12
Учёные НовГУ создали мультмедийный календарь традиционных примет и обычаев новгородцев
Завкафедрой философии, культурологии и социологии НовГУ Сергей Маленко и профессор Андрей Некита победили в конкурсе проектов по истории и культуре Новгородской земли.
Наука
7331
30 декабря, 11:17
«Исследователь года — 2021»: отмечена философско-культурологическая школа университета
Заведующий кафедрой философии, культурологии и социологии НовГУ Сергей Маленко и профессор Андрей Некита стали лауреатами международного конкурса.
Наука
5825
29 декабря, 12:52
Cтуденческое хирургическое общество усовершенствовало резекцию пищевода по Льюису
Члены студенческого хирургического научного общества НовГУ стали победителями XXIV Международного конкурса «Наука будущего – 2021».
Наука
8821
20 декабря, 14:00
На научной конференции в НовГУ рассказали о влиянии ожирения на исход заболевания корон...
В конференции «Коморбидные состояния при коронавирусной инфекции COVID-19 и других социально-значимых инфекционных заболеваниях» приняли участие практикующие врачи, ас...
Наука
8091
17 декабря, 15:22
Инженер Дома научной коллаборации претендует на грант с проектом системы беспроводной з...
Три студента и два сотрудника Новгородского университета претендуют на победу в конкурсе молодёжных инновационных проектов УМНИК
Наука
5265
16 декабря, 17:17
В Новгородском университете представят инновационные проекты молодых изобретателей
22 декабря в НовГУ пройдет первая региональная конференция «Интеллектуальная собственность как фактор инновационного развития Новгородской области»
Наука
7161
16 декабря, 14:53
«Орнаменты монументальной живописи Великого Новгорода» признали студенческим проектом с...
«Орнаменты монументальной живописи Великого Новгорода» признали студенческим проектом с лучшей научной составляющей
Наука
9733
13 декабря, 11:50
На международном круглом столе в НовГУ обсудили правовое регулирование браков между люд...
В круглом столе «Гражданско-правовое регулирование отношений, связанных с искусственным интеллектом» участвовали педагоги, студенты и магистранты НовГУ, Гродненского у...
Наука
6141